Skip to main content

Raising Awareness: Brain Infections Caused By Sinus Infection Are On The Rise

By Advance With MUSC Health
September 05, 2024

Here’s What Parents & Physicians Need To Look Out For…

It’s not uncommon for kids to get sinus infections. But what is uncommon, is the increase of pediatric sinus infections that are leading to severe—sometimes life-threatening—brain infections. Contrary to prior learning and training about how to manage bacterial respiratory infection and sinusitis symptoms that don’t resolve, the rise in the number of more aggressive pediatric intracranial infections is a new phenomenon that is now requiring doctors to consider a new approach.

Understanding The Post-Covid Effect Of Sinus Infections On Kids

In 2022, the CDC opened an investigation around the increase in pediatric intracranial infections, [intracranial empyema (IE)], especially those caused by Streptococcus bacteria. Its subsequent reports, Increase in Pediatric Intracranial Infections During the COVID-19 Pandemic, March 2020–March 2022 and the update covering January 2016–March 2023, showed elevations in pediatric intracranial infections beginning in mid-2021 with a large spike in the winter of 2022–2023.

Post-COVID, sinus infections are having an increasingly chronic effect on kids, requiring a more aggressive response to prevent transmission to the brain.

At MUSC Children’s Health, chief of pediatric neurosurgery, Ramin Eskandari, M.D., has seen a significant rise in pediatric intracranial infections. This includes subdural empyema, epidural abscess, and intracranial abscess in the brain itself. These infections are moving from an initial sinus infection into the head, becoming a brain problem much faster and more aggressively than ever before. This phenomenon is leading to kids presenting with more severe illnesses requiring neurosurgical intervention and, at times, multiple surgeries and intensive care hospitalizations.

“I hope that by educating both parents and primary care providers about the rise in cases of sinus infection rapidly progressing to brain infection, we can encourage people to pursue the prompt evaluations they may need,” says Dr. Eskandari. “Getting a Fast-Brain MRI, which is a non-sedated method for brain imaging in children, could drive faster, earlier interventions resulting in less severe outcomes.”

Rodney Schlosser, M.D., Director of MUSC’s Nose & Sinus Center, adds, “These complicated sinus infections often occur in children who are otherwise healthy and have no prior history of sinusitis. They can progress quite rapidly over days, so concerning symptoms, such as excessive drowsiness, high fevers, severe headaches or neck stiffness should all prompt quick referral and evaluation.”

Understanding Why Brain Infections Are Occurring With More Frequency

These are not typical infections. So what’s behind the increase?

The vast majority of the population—whether vaccinated or not—was exposed to the Covid-19 virus during the pandemic. We learned that the Covid-19 virus can cause damage to cilia in the sinus cavities. (The cilia are the tiny microtubular-based structures in the respiratory tract that capture allergens, then move those particles toward your nostrils, where they can be sneezed out or wiped away.)

Having less cilia can contribute to allowing bacterial infections to linger and then grow to the level of penetrating through layers of tissue and bone to reach the brain. These brain infections can then lead to intracranial epidural abscess and subdural empyema (pus that collects inside the skull) which causes fever, vomiting, seizures, and neurological impairments.

Dr. Eskandari goes on to explain, “This is a working hypothesis of why we may be seeing more of these progressive infections moving into the skull and reaching the brain than we’ve ever seen before.”

 
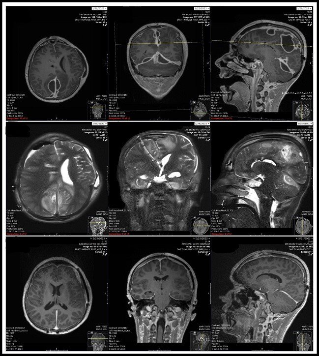
Top row: scan indicates pockets of pus in brain
Middle row: scan shows skull after over 12 surgeries and half of the skull was removed and brain was drained. An induced COMA due to brain pressures that would normally kill a patient.
Bottom row: scan shows complete recover, patient walking around and out of rehab. t.

Treatment in these cases needs to be aggressive and agile—from anti-biotics to surgical interventions. Fast action could be the only way to create a path to recovery.

So What Should Parents & Pediatricians Do?

At MUSC Children’s Health, we treat any sinus infection with a new, heightened level of awareness. We want to make sure parents know when it’s time to take more serious action. And we want to ensure pediatricians have visibility into the rise of cases we’re seeing so they can take steps toward early intervention.

Here’s what to look for:

  • School-age child or adolescent with sinus infection not behaving normally.
  • Progressive lethargy, vomiting, or changes in mental status.
  • Swelling of forehead or eyes.
  • Any known sinus infection which seems to be lingering beyond the typical or stated timeframe given by a physician.
  • The onset of seizures in the face of a known sinus infection.
  • Severe headaches which are not responding to sinus infection medication or treatment.

“We certainly don’t want to create fear or anxiety for parents when their child has a sinus infection,” says Dr. Eskandari. “But we do want to make sure parents and physicians have as much information as possible around what to watch out for—and what to test for—when symptoms don’t resolve on a normal timeline.”

More About Pediatric Neurology at MUSC

We provide unparalleled care without compromise to improve the quality of life for children with conditions that require neurosurgery. We deliver the most technologically advanced and evidence-based care possible and offer a vast range of advanced pediatric neurosurgical care for infants, children and adolescents who show signs of disorders such as hydrocephalus, brain tumors, skull and spine defects, myelomeningoceles, or spinal tumors

In collaboration with our Advanced Fetal Care Center, we also offer prenatal consultations and counseling to expectant parents.

What pediatric neurosurgical conditions do we treat?

  • Arachnoid cyst
  • Brain & spinal cord tumors
  • Chiari 1 malformation
  • Craniosynostosis
  • Plagiocephaly
  • Encephalocele
  • Head injury | Traumatic Brain Injury
  • Hydrocephalus
  • Medically refractory epilepsy
  • Moya Moya disease
  • Nerve injuries, including brachial plexus injuries
  • Other spinal dysraphisms
  • Skull and spinal column (bone deformities, tumors or abnormalities) – includes congenital and acquired spine abnormalities
  • Spasticity
  • Spina bifida/myelomeningocele
  • Tethered spinal cord
  • Vascular abnormalities of the brain and spinal cord, including stroke, aneurysms, arteriovenous malformations, cavernous malformations, and venous sinus stenosis

Why choose MUSC?

MUSC Children's Health is an integrated health care delivery system that provides comprehensive care for children from before birth up to eighteen years of age. We believe children have special needs for everything from medicines and the size of their beds to special care that only specially trained pediatric professionals can provide.

Learn More about MUSC Children’s Health

How do I make an appointment for a consultation?

Call 843-876-8282 or you can schedule an appointment through the patient’s MyChart account.

Recent Advance with MUSC Health stories

Amelia
Virtual Assistant
Hello, I am Amelia. How can I help you today? If this is a medical emergency, please call 911 or report to your local emergency room.
toggle chat overlay