Skip to main content

MUSC doctors deploy Botox to help repair a hernia

January 21, 2020
Dr. Evert Eriksson, patient Jackie Goff and nurse practitioner Amanda Waite shortly before Goff was discharged after a successful hernia repair. Photo provided

Botox may be most famous for helping celebrities maintain an illusion of youthfulness, but the drug is increasingly used by doctors far from the cosmetic realm – including MUSC Health trauma surgeon Evert Eriksson and physiatrist Emily Darr, who used the toxin to prepare a patient for an otherwise unfeasible hernia repair. 

“When he came up with the Botox, I thought ohhhh-kayyy,” recalled patient Jacqueline Goff.

But, she added, she trusts Eriksson with her life. That’s because Eriksson, Trauma medical director in the Division of General and Acute Care Surgery, was on call the night of June 22, 2018. That’s the night that a wrong-way driver crashed into a car that Goff and her best friend, then-Congressional candidate Katie Arrington, were in. The pair suffered severe traumatic injuries. The other driver died at the scene.

As the Congressional candidate who had defeated Rep. Mark Sanford in the primary election not two weeks earlier, Arrington received nationwide coverage. Goff wasn’t a public figure and didn’t get the same level of media attention, but her case was actually far more difficult to treat, Eriksson said.

“Jackie’s injury is considerably more complex than Katie’s. Katie’s is a more typical car wreck injury that we see. Her injuries are something we deal with every day. Jackie’s injury is a whole different ball game and much harder to get a good outcome from,” he said.

The seatbelt had sliced through Goff’s abdomen like a taut nylon cord through wet clay. The injury required multiple surgeries during Goff’s initial hospital stay just for basic repairs to internal organs. While Arrington went home after two weeks, Goff remained in the hospital for 62 days before transferring out for rehab.

“This is the worst seatbelt injury I’ve ever seen,” Eriksson said. “Among all the attending doctors as well, no one’s seen this bad of an injury from a seatbelt.” Goff needed an entire reconstruction of the left side of her abdominal wall after all the muscle was pulled off of the pelvis bones.

 
Eriksson keeps this 3-D printed model of Goff's abdominal injury as a teaching tool. Photo by Sarah Pack

Goff left the hospital with a bridging biologic mesh acting as a stand-in for her abdominal wall – the muscles that normally “keep all her insides inside,” according to Eriksson. Because of the injury, her right and left abdominal muscles no longer met in the middle. Even with the mesh and the stiffest Spanx she could find, she still had a visible hernia. And it wasn’t some small bulge, either, Goff said. She looked several months pregnant.

Eriksson and Goff knew she would need to return for surgery to repair the hernia, but first she went home to the New Orleans area to recuperate. It was another four to five months at home before she even felt strong enough to return to yoga, Goff said.

Living with the hernia wasn’t really an option, though.

“Your belly muscles being to the midline in front helps stabilize the back, helps stabilize the entire body for activity,” Eriksson said. “So it’s an important thing to get the muscles back to the middle for long-term recovery.”

Finally, in the summer of 2019, it was time to plan the hernia repair surgery. Eriksson ordered CAT scans to study the current state of Goff’s abdominal wall. Unstretched for a year, the right and left abdominal muscles had retreated to their sides, shortening and thickening even further. Eriksson knew he wouldn’t be able to pull the muscles back into place manually.

“Jackie’s injury is considerably more complex than Katie’s. Katie’s is a more typical car wreck injury that we see. Her injuries are something we deal with every day. Jackie’s injury is a whole different ball game and much harder to get a good outcome from.”

Dr. Evert Eriksson

But he’d heard about cases where Botox was used to relax muscles enough that they could be pulled and stretched back into position. He didn’t know of anyone at MUSC Health who had used such a technique, so he spoke to hernia experts around the country and came to the conclusion that Botox was Goff’s best chance for recovery. Without it, he said, she’d likely have a bridging repair – a surgical fix that could lead to ongoing issues with mobility and strength and had a high chance of hernia recurrence. 

Eriksson then reached out to Darr, a physical medicine and rehabilitation doctor who uses Botox in her practice. For children with cerebral palsy, for example, Botox injected into the calf relaxes the muscle from a contracted state to help them walk normally rather than on their toes. Botox is also used to treat chronic migraines, excessive sweating and amblyopia, a condition also known as lazy eye.

Darr hadn’t used Botox in the way Eriksson was proposing, but she looked at the research he sent. Botox is made from botulinum toxin, a potentially deadly neurotoxin. In large doses, the toxin causes the illness botulism, paralyzing muscles throughout the body, including the muscles needed to breathe. In smaller doses used cosmetically, the toxin paralyzes the tiny muscles in your face so they can no longer contract and give you frown lines. The Food and Drug Administration has approved the use of up to 40 units of Botox Cosmetic into the forehead.

Darr, relying on her experience and the latest research, calculated that 300 units would be an appropriate dose for Goff. She used ultrasound to guide her with precision as she injected the neurotoxin into the muscle.

“Botox in your forehead makes you look beautiful – Botox in my stomach makes it look like a bowlful of jelly,” Goff recalled texting to Amanda Waite, the nurse practitioner who cares for Eriksson’s patients. The two women had become close over the course of Goff’s care. Waite showed the text to Eriksson, who said that was exactly the result he was looking for, Goff said.

Eriksson and Goff returned to the operating room in August for the final hernia repair. With Goff’s muscles now relaxed from the Botox, Eriksson could pull them from their shortened and thickened state – rather like Silly Putty, he explained – to a longer, thinner position where they met in the middle. He sewed the muscles together, giving her a functional abdominal wall. Once the Botox wore off, he explained, the muscles began to adapt to their new stretched position.

 
 
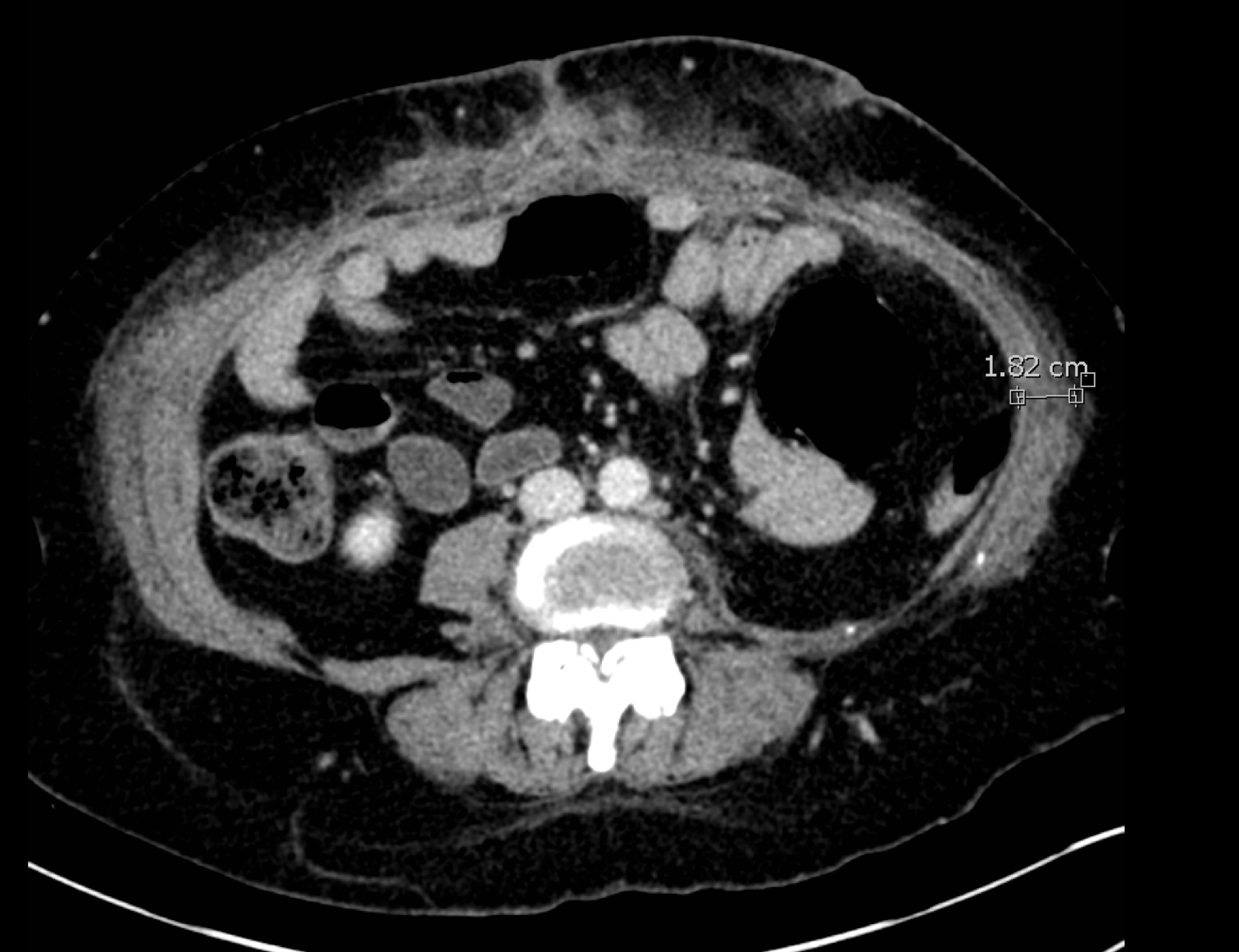
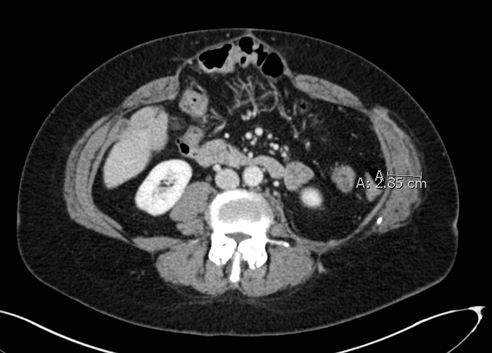
These CT scans of a cross-section of Goff's abdomen show how the Botox enabled Eriksson to pull her abdominal muscles back into position. At top, pre-surgery, the hernia is visible at the top of the scan. A measurement shows the right abdominal muscle has retracted and, as a consequence, has thickened to a width 2.85 cm. In the lower image, the muscle has been stretched thinner, so the new measured width is 1.82 cm, and pulled back to the center of her body. Images provided

Eriksson said this is a technique he can envision using again.

“I do think it’ll be something we’ll use more in the future. We had a very good result with this. We are getting more referrals for this type of repair, and I think it’s an important tool. The data is getting stronger that it’s a good tool, and as that data becomes more robust, I think it will be a lot easier to get these patients preapproved for it,” he said.

For Goff’s surgery, he noted, he had to write a letter to the insurance company to make a case for using Botox.

Goff’s case shows the type of complicated repair that MUSC Health doctors will be able to perform in the planned Advanced Hernia Center.

“This is an excellent example of the type of advanced hernia care that we can offer in difficult cases such as Ms. Goff’s. Difficult cases demand advanced techniques, which are ultimately generated through collaborative thinking,” said Bruce Crookes, M.D., Chief of the Division of General and Acute Care Surgery. “The type of innovative thinking Dr. Eriksson used is only propagated when talented, interested, and passionate clinicians coalesce into an integrated structure like MUSC’s Advanced Hernia Center, scheduled to open July 2020.”

Goff remained in the Lowcountry recuperating until Oct. 5. She’s back in Louisiana now and getting on with life, though she still doesn’t like to drive at night. She remains amazed that she and Arrington survived the crash. And she thinks constantly about Eriksson and his team.

“When I wake up in the morning, he’s in my prayers,” she said.

Meet the Author
Leslie Cantu Hollings Cancer Center Staff wearing a blue dress shirt

Leslie Cantu

Senior Communications Manager

Leslie Cantu is the senior communications manager at MUSC Hollings Cancer Center, where she works with researchers, clinicians and patients to tell the people of South Carolina about the innovative work being done to improve cancer care for everyone in the state. She joined the MUSC Office of Communications and Marketing in 2018 after a career as an award-winning writer, editor and producer at community newspapers and local TV news. She transferred to the communications office at Hollings in 2022, where she happily finds something new and interesting to write about every day. Her favorite stories to cover at MUSC have included Match Day, the Angel Tree Parade, a clinical trial of CAR-T cell therapy and the many patients who have agreed to share their very personal struggles and triumphs.

Recent Patient Journeys stories

Amelia
Virtual Assistant
Hello, I am Amelia. How can I help you today? If this is a medical emergency, please call 911 or report to your local emergency room.
toggle chat overlay